Search by :

ANATOMY GAMUTS
 

Diagnologic is a website dedicated to health care professionals only. The Use of Diagnologic implies acceptance of the Terms of use.

Patient details - Key images

The images below illustrate this case for diagnoses Desmoid tumor, for the modalities (MRI ,X rays)

Gamuts for this case : :

  • Without gamut
  • Cystic and cystic-like soft tissue mass
  • Hypointense T2 WI soft tissue lesion
  • Hypervascular soft tissue mass

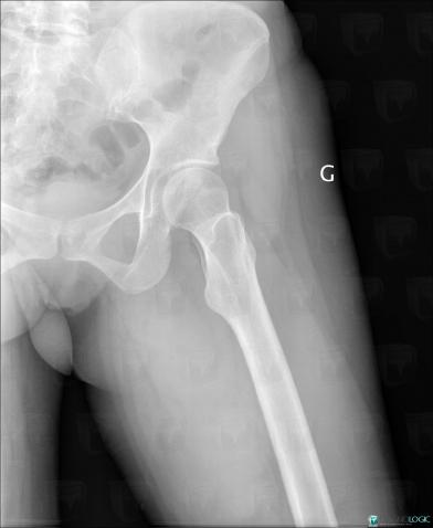
Desmoid tumor, Other soft tissues/nerves - Thigh, X rays
Here is the specific information in the key image above:
- Diagnosis Desmoid tumor, Location(s) Other soft tissues/nerves - Thigh, with gamuts

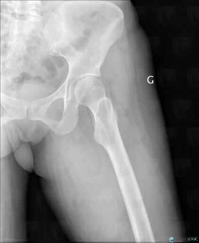
Desmoid tumor, Other soft tissues/nerves - Thigh, X rays
Here is the specific information in the key image above:
- Diagnosis Desmoid tumor, Location(s) Other soft tissues/nerves - Thigh, with gamuts

Desmoid tumor, Muscles - Thigh, Other soft tissues/nerves - Thigh, MRI
Here is the specific information in the key image above:
- Diagnosis Desmoid tumor, Location(s) Muscles - Thigh, with gamuts Cystic and cystic-like soft tissue massOther soft tissues/nerves - Thigh, with gamuts Cystic and cystic-like soft tissue mass

Desmoid tumor, Muscles - Thigh, Other soft tissues/nerves - Thigh, MRI
Here is the specific information in the key image above:
- Diagnosis Desmoid tumor, Location(s) Muscles - Thigh, with gamuts Cystic and cystic-like soft tissue massOther soft tissues/nerves - Thigh, with gamuts Cystic and cystic-like soft tissue mass

Desmoid tumor, Muscles - Thigh, Other soft tissues/nerves - Thigh, MRI
Here is the specific information in the key image above:
- Diagnosis Desmoid tumor, Location(s) Muscles - Thigh, with gamuts Hypointense T2 WI soft tissue lesionOther soft tissues/nerves - Thigh, with gamuts Hypointense T2 WI soft tissue lesion

Desmoid tumor, Muscles - Thigh, Other soft tissues/nerves - Thigh, MRI
Here is the specific information in the key image above:
- Diagnosis Desmoid tumor, Location(s) Muscles - Thigh, with gamuts Hypointense T2 WI soft tissue lesionOther soft tissues/nerves - Thigh, with gamuts Hypointense T2 WI soft tissue lesion

Desmoid tumor, Pelvic Muscles, Other soft tissues/nerves - Pelvis, MRI
Here is the specific information in the key image above:
- Diagnosis Desmoid tumor, Location(s) Other soft tissues/nerves - Pelvis, with gamuts Hypervascular soft tissue massPelvic Muscles, with gamuts Hypervascular soft tissue mass

Desmoid tumor, Muscles - Thigh, Other soft tissues/nerves - Thigh, MRI
Here is the specific information in the key image above:
- Diagnosis Desmoid tumor, Location(s) Other soft tissues/nerves - Thigh, with gamuts Hypervascular soft tissue massMuscles - Thigh, with gamuts Hypervascular soft tissue mass

Desmoid tumor, Pelvic Muscles, Other soft tissues/nerves - Pelvis, MRI
Here is the specific information in the key image above:
- Diagnosis Desmoid tumor, Location(s) Other soft tissues/nerves - Pelvis, with gamuts Hypervascular soft tissue massPelvic Muscles, with gamuts Hypervascular soft tissue mass

Desmoid tumor, Muscles - Thigh, Other soft tissues/nerves - Thigh, MRI
Here is the specific information in the key image above:
- Diagnosis Desmoid tumor, Location(s) Other soft tissues/nerves - Thigh, with gamuts Hypervascular soft tissue massMuscles - Thigh, with gamuts Hypervascular soft tissue mass

Return to the patient details