Search by :

ANATOMY GAMUTS
 

Diagnologic is a website dedicated to health care professionals only. The Use of Diagnologic implies acceptance of the Terms of use.

Patient details - Key images

The images below illustrate this case for diagnoses Teratoma (link to Dermoid cyst), Nabothian cyst, for the modalities (US ,MRI)

Gamuts for this case : :

  • Complex adnexal mass
  • Complex pelvic mass
  • T2 WI hyperintense adnexal mass
  • Cervical mass
  • T1 WI hyperintense adnexal mass
  • Fat containing pelvic mass

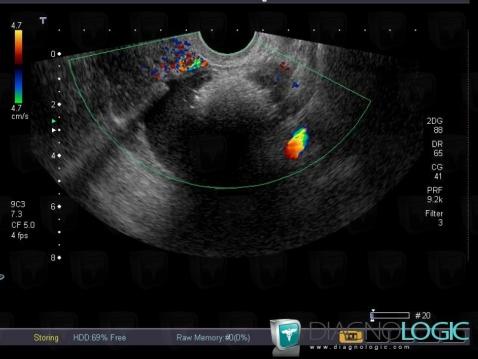
Teratoma, Adnexa / Ovary fallopian tube, Pelvis / Perineum, US
Here is the specific information in the key image above:
- Diagnosis Teratoma (link to Dermoid cyst), Location(s) Adnexa / Ovary fallopian tube, with gamuts Complex adnexal massPelvis / Perineum, with gamuts Complex pelvic mass

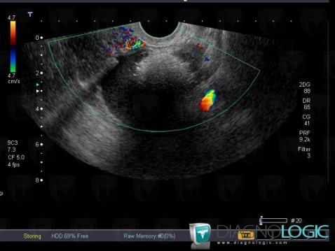
Teratoma, Adnexa / Ovary fallopian tube, Pelvis / Perineum, US
Here is the specific information in the key image above:
- Diagnosis Teratoma (link to Dermoid cyst), Location(s) Adnexa / Ovary fallopian tube, with gamuts Complex adnexal massPelvis / Perineum, with gamuts Complex pelvic mass

Teratoma, Adnexa / Ovary fallopian tube, MRI
Here is the specific information in the key image above:
- Diagnosis Teratoma (link to Dermoid cyst), Location(s) Adnexa / Ovary fallopian tube, with gamuts T2 WI hyperintense adnexal mass

Teratoma, Adnexa / Ovary fallopian tube, MRI
Here is the specific information in the key image above:
- Diagnosis Teratoma (link to Dermoid cyst), Location(s) Adnexa / Ovary fallopian tube, with gamuts T2 WI hyperintense adnexal mass

Nabothian cyst, Uterus, MRI
Here is the specific information in the key image above:
- Diagnosis Nabothian cyst, Location(s) Uterus, with gamuts Cervical mass

Nabothian cyst, Uterus, MRI
Here is the specific information in the key image above:
- Diagnosis Nabothian cyst, Location(s) Uterus, with gamuts Cervical mass

Teratoma, Adnexa / Ovary fallopian tube, MRI
Here is the specific information in the key image above:
- Diagnosis Teratoma (link to Dermoid cyst), Location(s) Adnexa / Ovary fallopian tube, with gamuts Complex adnexal mass, T1 WI hyperintense adnexal mass

Teratoma, Adnexa / Ovary fallopian tube, MRI
Here is the specific information in the key image above:
- Diagnosis Teratoma (link to Dermoid cyst), Location(s) Adnexa / Ovary fallopian tube, with gamuts Complex adnexal mass, T1 WI hyperintense adnexal mass

Teratoma, Pelvis / Perineum, MRI
Here is the specific information in the key image above:
- Diagnosis Teratoma (link to Dermoid cyst), Location(s) Pelvis / Perineum, with gamuts Fat containing pelvic mass, Complex pelvic mass

Teratoma, Pelvis / Perineum, MRI
Here is the specific information in the key image above:
- Diagnosis Teratoma (link to Dermoid cyst), Location(s) Pelvis / Perineum, with gamuts Fat containing pelvic mass, Complex pelvic mass

Return to the patient details