Search by :

ANATOMY GAMUTS
 

Diagnologic is a website dedicated to health care professionals only. The Use of Diagnologic implies acceptance of the Terms of use.

Patient details - Key images

The images below illustrate this case for diagnoses Degenerative joint disease, for the modalities (CT)

Gamuts for this case : :

  • Without gamut

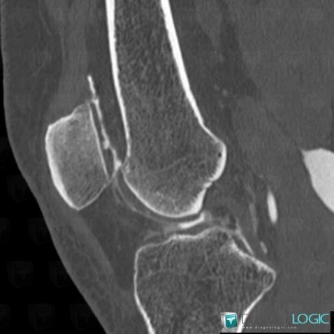
Degenerative joint disease, Patellofemoral joint, CT
Here is the specific information in the key image above:
- Diagnosis Degenerative joint disease, Location(s) Patellofemoral joint, with gamuts

Degenerative joint disease, Femorotibial joints - Intercondylar notch, CT
Here is the specific information in the key image above:
- Diagnosis Degenerative joint disease, Location(s) Femorotibial joints - Intercondylar notch, with gamuts

Degenerative joint disease, Femorotibial joints - Intercondylar notch, CT
Here is the specific information in the key image above:
- Diagnosis Degenerative joint disease, Location(s) Femorotibial joints - Intercondylar notch, with gamuts

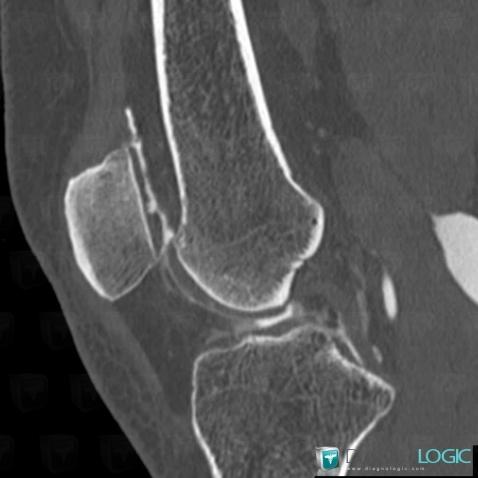
Degenerative joint disease, Patellofemoral joint, CT
Here is the specific information in the key image above:
- Diagnosis Degenerative joint disease, Location(s) Patellofemoral joint, with gamuts

Return to the patient details