The images below illustrate this case for diagnoses Degenerative joint disease, CPPD, Chondrocalcinosis, for the modalities (X rays)
Gamuts for this case : :
- Without gamut
- Phalangeal osteolytic lesion
Here is the specific information in the key image above:
- Diagnosis CPPD, Location(s) Mediocarpal joint, with gamuts
Here is the specific information in the key image above:
- Diagnosis CPPD, Location(s) Gleno humeral joint, with gamuts
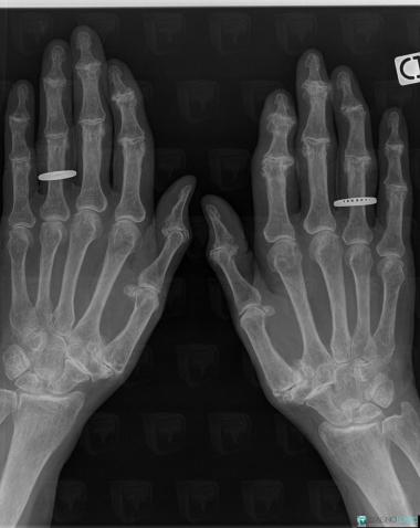
Here is the specific information in the key image above:
- Diagnosis Degenerative joint disease, Location(s) Phalanx / Sesamoid bones - Hand, with gamuts Phalangeal osteolytic lesionInterphalangeal joint - Hand, with gamuts
- Diagnosis Chondrocalcinosis, Location(s) Metacarpophalangeal joints, with gamuts
Here is the specific information in the key image above:
- Diagnosis CPPD, Location(s) Mediocarpal joint, with gamuts
Here is the specific information in the key image above:
- Diagnosis CPPD, Location(s) Gleno humeral joint, with gamuts
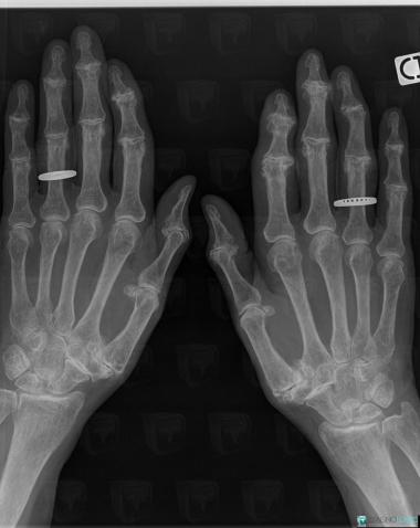
Here is the specific information in the key image above:
- Diagnosis Degenerative joint disease, Location(s) Phalanx / Sesamoid bones - Hand, with gamuts Phalangeal osteolytic lesionInterphalangeal joint - Hand, with gamuts
- Diagnosis Chondrocalcinosis, Location(s) Metacarpophalangeal joints, with gamuts