Search by :

ANATOMY GAMUTS
 

Diagnologic is a website dedicated to health care professionals only. The Use of Diagnologic implies acceptance of the Terms of use.

Patient details - Key images

The images below illustrate this case for diagnoses Degenerative joint disease, for the modalities (CT)

Gamuts for this case : :

  • Arthritis without osteoporosis
  • Epiphyseal osteolysis
  • Monoarticular joint disease

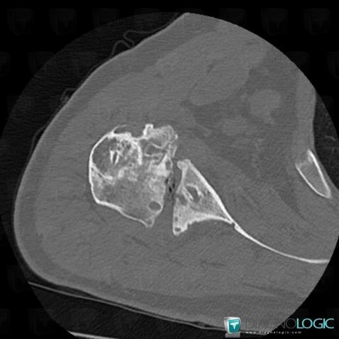
Degenerative joint disease, Humerus - Proximal part, Gleno humeral joint, CT
Here is the specific information in the key image above:
- Diagnosis Degenerative joint disease, Location(s) Gleno humeral joint, with gamuts Arthritis without osteoporosis, Monoarticular joint diseaseHumerus - Proximal part, with gamuts Epiphyseal osteolysis

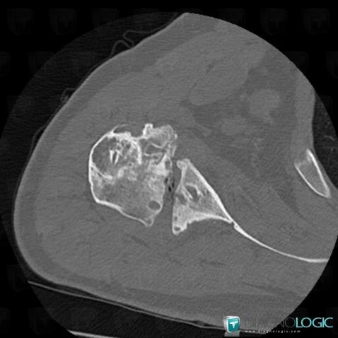
Degenerative joint disease, Scapula, CT
Here is the specific information in the key image above:
- Diagnosis Degenerative joint disease, Location(s) Scapula, with gamuts Epiphyseal osteolysis

Degenerative joint disease, Scapula, CT
Here is the specific information in the key image above:
- Diagnosis Degenerative joint disease, Location(s) Scapula, with gamuts Epiphyseal osteolysis

Degenerative joint disease, Humerus - Proximal part, Gleno humeral joint, CT
Here is the specific information in the key image above:
- Diagnosis Degenerative joint disease, Location(s) Gleno humeral joint, with gamuts Arthritis without osteoporosis, Monoarticular joint diseaseHumerus - Proximal part, with gamuts Epiphyseal osteolysis

Return to the patient details