Search by :

ANATOMY GAMUTS
 

Diagnologic is a website dedicated to health care professionals only. The Use of Diagnologic implies acceptance of the Terms of use.

Patient details - Key images

The images below illustrate this case for diagnoses Cerebral infarction, for the modalities (CT ,MRI)

Gamuts for this case : :

  • Hypodense intracerebral lesion on noncontrast CT
  • Cortical lesion
  • Intracerebral T2W or FLAIR hyperintense lesion
  • Parietal posterior or occipital T2WI or FLAIR hyperintense lesion
  • Subcortical lesion
  • Without gamut

Cerebral infarction, Cerebral hemispheres, CT
Here is the specific information in the key image above:
- Diagnosis Cerebral infarction, Location(s) Cerebral hemispheres, with gamuts Hypodense intracerebral lesion on noncontrast CT

Cerebral infarction, Cortico subcortical region, Cerebral hemispheres, MRI
Here is the specific information in the key image above:
- Diagnosis Cerebral infarction, Location(s) Cortico subcortical region, with gamuts Cortical lesion, Subcortical lesionCerebral hemispheres, with gamuts Intracerebral T2W or FLAIR hyperintense lesion, Parietal posterior or occipital T2WI or FLAIR hyperintense lesion

Cerebral infarction, Cerebral hemispheres, CT
Here is the specific information in the key image above:
- Diagnosis Cerebral infarction, Location(s) Cerebral hemispheres, with gamuts Hypodense intracerebral lesion on noncontrast CT

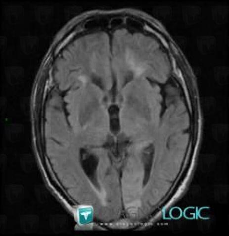
Cerebral infarction, Cerebral hemispheres, MRI
Here is the specific information in the key image above:
- Diagnosis Cerebral infarction, Location(s) Cerebral hemispheres, with gamuts

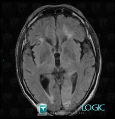
Cerebral infarction, Cerebral hemispheres, MRI
Here is the specific information in the key image above:
- Diagnosis Cerebral infarction, Location(s) Cerebral hemispheres, with gamuts

Cerebral infarction, Cortico subcortical region, Cerebral hemispheres, MRI
Here is the specific information in the key image above:
- Diagnosis Cerebral infarction, Location(s) Cortico subcortical region, with gamuts Cortical lesion, Subcortical lesionCerebral hemispheres, with gamuts Intracerebral T2W or FLAIR hyperintense lesion, Parietal posterior or occipital T2WI or FLAIR hyperintense lesion

Return to the patient details