Search by :

ANATOMY GAMUTS
 

Diagnologic is a website dedicated to health care professionals only. The Use of Diagnologic implies acceptance of the Terms of use.

Patient details - Key images

The images below illustrate this case for diagnoses Cerebral infarction, for the modalities (MRI ,CT)

Gamuts for this case : :

  • DWI hyperintense lesion
  • Without gamut
  • Basal ganglia T2W or FLAIR hyperintense lesion

Cerebral infarction, Basal ganglia and capsule, MRI
Here is the specific information in the key image above:
- Diagnosis Cerebral infarction, Location(s) Basal ganglia and capsule, with gamuts DWI hyperintense lesion

Cerebral infarction, Basal ganglia and capsule, CT
Here is the specific information in the key image above:
- Diagnosis Cerebral infarction, Location(s) Basal ganglia and capsule, with gamuts

Cerebral infarction, Basal ganglia and capsule, MRI
Here is the specific information in the key image above:
- Diagnosis Cerebral infarction, Location(s) Basal ganglia and capsule, with gamuts Basal ganglia T2W or FLAIR hyperintense lesion

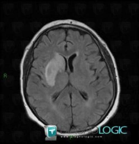
Cerebral infarction, Basal ganglia and capsule, MRI
Here is the specific information in the key image above:
- Diagnosis Cerebral infarction, Location(s) Basal ganglia and capsule, with gamuts Basal ganglia T2W or FLAIR hyperintense lesion

Cerebral infarction, Basal ganglia and capsule, CT
Here is the specific information in the key image above:
- Diagnosis Cerebral infarction, Location(s) Basal ganglia and capsule, with gamuts

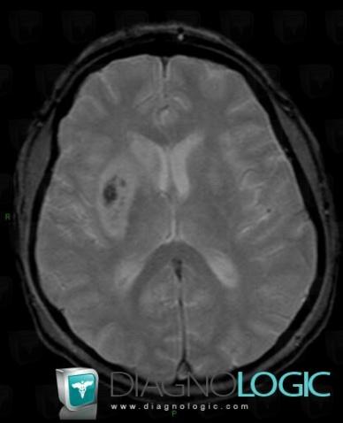
Cerebral infarction, Basal ganglia and capsule, MRI
Here is the specific information in the key image above:
- Diagnosis Cerebral infarction, Location(s) Basal ganglia and capsule, with gamuts

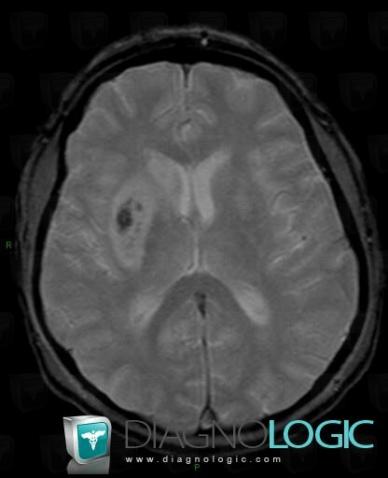
Cerebral infarction, Basal ganglia and capsule, MRI
Here is the specific information in the key image above:
- Diagnosis Cerebral infarction, Location(s) Basal ganglia and capsule, with gamuts DWI hyperintense lesion

Cerebral infarction, Basal ganglia and capsule, MRI
Here is the specific information in the key image above:
- Diagnosis Cerebral infarction, Location(s) Basal ganglia and capsule, with gamuts

Return to the patient details