Search by :

ANATOMY GAMUTS
 

Diagnologic is a website dedicated to health care professionals only. The Use of Diagnologic implies acceptance of the Terms of use.

Patient details - Key images

The images below illustrate this case for diagnoses Cavernous angioma, for the modalities (MRI ,CT)

Gamuts for this case : :

  • Hyperdense infratentorial lesion on noncontrast CT
  • Brainstem lesion
  • Without gamut
  • Brainstem Hypointense T2WI or FLAIR lesion

Cavernous angioma, Brainstem, Posterior fossa, CT
Here is the specific information in the key image above:
- Diagnosis Cavernous angioma, Location(s) Posterior fossa, with gamuts Hyperdense infratentorial lesion on noncontrast CTBrainstem, with gamuts Brainstem lesion

Cavernous angioma, Brainstem, MRI
Here is the specific information in the key image above:
- Diagnosis Cavernous angioma, Location(s) Brainstem, with gamuts

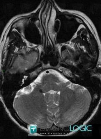
Cavernous angioma, Brainstem, MRI
Here is the specific information in the key image above:
- Diagnosis Cavernous angioma, Location(s) Brainstem, with gamuts Brainstem lesion, Brainstem Hypointense T2WI or FLAIR lesion

Cavernous angioma, Brainstem, MRI
Here is the specific information in the key image above:
- Diagnosis Cavernous angioma, Location(s) Brainstem, with gamuts

Cavernous angioma, Brainstem, Posterior fossa, CT
Here is the specific information in the key image above:
- Diagnosis Cavernous angioma, Location(s) Posterior fossa, with gamuts Hyperdense infratentorial lesion on noncontrast CTBrainstem, with gamuts Brainstem lesion

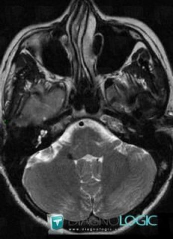
Cavernous angioma, Brainstem, MRI
Here is the specific information in the key image above:
- Diagnosis Cavernous angioma, Location(s) Brainstem, with gamuts Brainstem lesion, Brainstem Hypointense T2WI or FLAIR lesion

Return to the patient details