Search by :

ANATOMY GAMUTS
 

Diagnologic is a website dedicated to health care professionals only. The Use of Diagnologic implies acceptance of the Terms of use.

Patient details - Key images

The images below illustrate this case for diagnoses Adrenocortical carcinoma, for the modalities (CT)

Gamuts for this case : :

  • Low density retroperitoneal mass
  • Unilateral adrenal mass
  • Lesion in the perinephric space

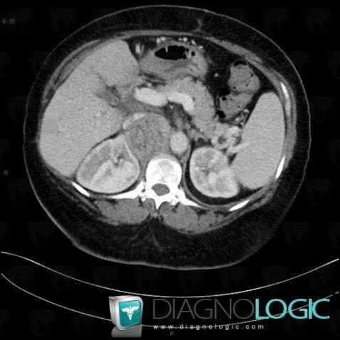
Adrenocortical carcinoma, Retroperitoneum, CT
Here is the specific information in the key image above:
- Diagnosis Adrenocortical carcinoma, Location(s) Retroperitoneum, with gamuts Low density retroperitoneal mass

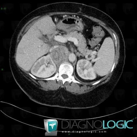
Adrenocortical carcinoma, Retroperitoneum, Adrenal glands, CT
Here is the specific information in the key image above:
- Diagnosis Adrenocortical carcinoma, Location(s) Adrenal glands, with gamuts Unilateral adrenal massRetroperitoneum, with gamuts Lesion in the perinephric space

Adrenocortical carcinoma, Retroperitoneum, CT
Here is the specific information in the key image above:
- Diagnosis Adrenocortical carcinoma, Location(s) Retroperitoneum, with gamuts Low density retroperitoneal mass

Adrenocortical carcinoma, Retroperitoneum, Adrenal glands, CT
Here is the specific information in the key image above:
- Diagnosis Adrenocortical carcinoma, Location(s) Adrenal glands, with gamuts Unilateral adrenal massRetroperitoneum, with gamuts Lesion in the perinephric space

Return to the patient details