Search by :

ANATOMY GAMUTS
 

Diagnologic is a website dedicated to health care professionals only. The Use of Diagnologic implies acceptance of the Terms of use.

Patient details - Key images

The images below illustrate this case for diagnoses Abscess, Empyema, for the modalities (CT)

Gamuts for this case : :

  • Solitary pulmonary nodule
  • Cavitary pulmonary nodule
  • Pleural thickening
  • Solitary pleural mass

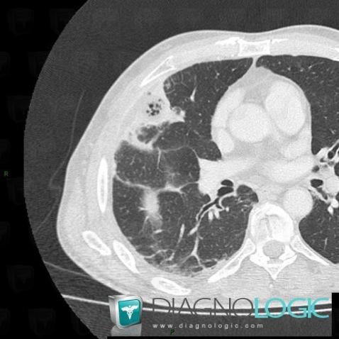
Abscess, Pulmonary parenchyma, CT
Here is the specific information in the key image above:
- Diagnosis Abscess, Location(s) Pulmonary parenchyma, with gamuts Solitary pulmonary nodule, Cavitary pulmonary nodule

Empyema, Pleura, CT
Here is the specific information in the key image above:
- Diagnosis Empyema, Location(s) Pleura, with gamuts Pleural thickening, Solitary pleural mass

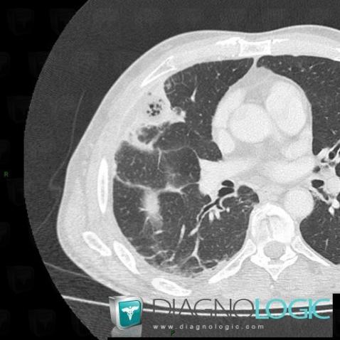
Abscess, Pulmonary parenchyma, CT
Here is the specific information in the key image above:
- Diagnosis Abscess, Location(s) Pulmonary parenchyma, with gamuts Solitary pulmonary nodule, Cavitary pulmonary nodule

Empyema, Pleura, CT
Here is the specific information in the key image above:
- Diagnosis Empyema, Location(s) Pleura, with gamuts Pleural thickening, Solitary pleural mass

Return to the patient details