Search by :

ANATOMY GAMUTS
 

Diagnologic is a website dedicated to health care professionals only. The Use of Diagnologic implies acceptance of the Terms of use.

Patient details - Key images

The images below illustrate this case for diagnoses Abscess, Colon cancer, Pneumoperitoneum, for the modalities (CT)

Gamuts for this case : :

  • Without gamut
  • Thickening of colon wall
  • Colonic mass or filling defect

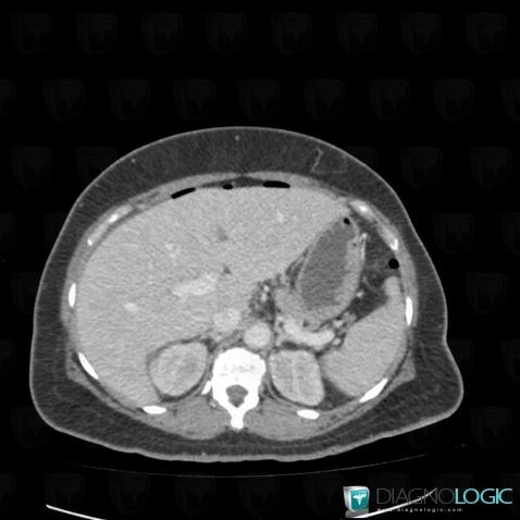
Pneumoperitoneum, Mesentery / Peritoneum, CT
Here is the specific information in the key image above:
- Diagnosis Pneumoperitoneum, Location(s) Mesentery / Peritoneum, with gamuts

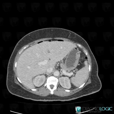
Pneumoperitoneum, Mesentery / Peritoneum, CT
Here is the specific information in the key image above:
- Diagnosis Pneumoperitoneum, Location(s) Mesentery / Peritoneum, with gamuts

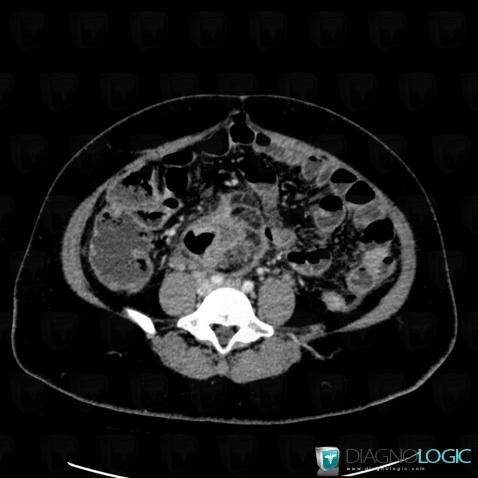
Colon cancer, Colon, CT
Here is the specific information in the key image above:
- Diagnosis Colon cancer, Location(s) Colon, with gamuts Thickening of colon wall, Colonic mass or filling defect

Abscess, Retroperitoneum, CT
Here is the specific information in the key image above:
- Diagnosis Abscess, Location(s) Retroperitoneum, with gamuts

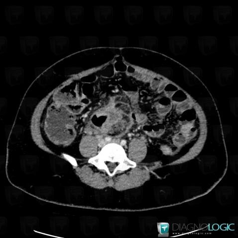
Colon cancer, Colon, CT
Here is the specific information in the key image above:
- Diagnosis Colon cancer, Location(s) Colon, with gamuts Thickening of colon wall, Colonic mass or filling defect

Abscess, Retroperitoneum, CT
Here is the specific information in the key image above:
- Diagnosis Abscess, Location(s) Retroperitoneum, with gamuts

Return to the patient details