Search by :

ANATOMY GAMUTS
 

Diagnologic is a website dedicated to health care professionals only. The Use of Diagnologic implies acceptance of the Terms of use.

Patient details - Key images

The images below illustrate this case for diagnoses Abscess, Encephalitis, for the modalities (CT)

Gamuts for this case : :

  • Hypodense intracerebral lesion on noncontrast CT
  • Intracerebral lesion with moderate enhancement
  • Intracerebral mass
  • Intracerebral lesion with ring enhancement
  • Multifocal intracranial lesions

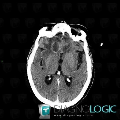
Encephalitis, Cerebral hemispheres, CT
Here is the specific information in the key image above:
- Diagnosis Encephalitis, Location(s) Cerebral hemispheres, with gamuts Hypodense intracerebral lesion on noncontrast CT

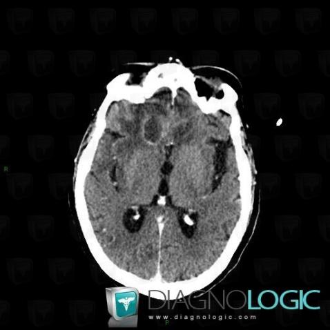
Encephalitis, Cerebral hemispheres, CT
Here is the specific information in the key image above:
- Diagnosis Encephalitis, Location(s) Cerebral hemispheres, with gamuts Hypodense intracerebral lesion on noncontrast CT

Encephalitis, Cerebral hemispheres, CT
Here is the specific information in the key image above:
- Diagnosis Encephalitis, Location(s) Cerebral hemispheres, with gamuts Intracerebral lesion with moderate enhancement

Encephalitis, Cerebral hemispheres, CT
Here is the specific information in the key image above:
- Diagnosis Encephalitis, Location(s) Cerebral hemispheres, with gamuts Intracerebral lesion with moderate enhancement

Abscess, Cerebral hemispheres, CT
Here is the specific information in the key image above:
- Diagnosis Abscess, Location(s) Cerebral hemispheres, with gamuts Intracerebral mass, Intracerebral lesion with ring enhancement, Multifocal intracranial lesions, Intracerebral lesion with moderate enhancement

Abscess, Cerebral hemispheres, CT
Here is the specific information in the key image above:
- Diagnosis Abscess, Location(s) Cerebral hemispheres, with gamuts Intracerebral mass, Intracerebral lesion with ring enhancement, Multifocal intracranial lesions, Intracerebral lesion with moderate enhancement

Return to the patient details