Search by :

ANATOMY GAMUTS
 

Diagnologic is a website dedicated to health care professionals only. The Use of Diagnologic implies acceptance of the Terms of use.

Patient details - Key images

The images below illustrate this case for diagnoses Abscess, for the modalities (MRI ,CT)

Gamuts for this case : :

  • Temporal lobe T2WI or FLAIR hyperintense lesion
  • Intracerebral T2W or FLAIR hyperintense lesion
  • Intracerebral lesion with ring enhancement
  • Intracerebral lesion with moderate enhancement
  • Hypodense intracerebral lesion on noncontrast CT
  • Intracerebral mass
  • Multifocal intracranial lesions

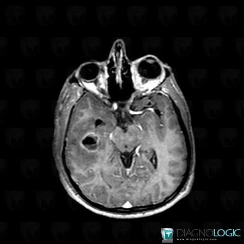
Abscess, Cerebral hemispheres, MRI
Here is the specific information in the key image above:
- Diagnosis Abscess, Location(s) Cerebral hemispheres, with gamuts Temporal lobe T2WI or FLAIR hyperintense lesion, Intracerebral T2W or FLAIR hyperintense lesion

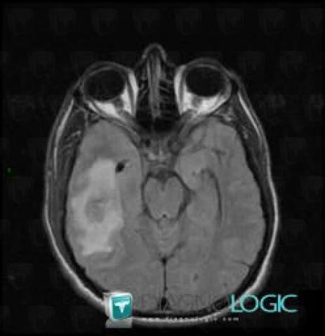
Abscess, Cerebral hemispheres, MRI
Here is the specific information in the key image above:
- Diagnosis Abscess, Location(s) Cerebral hemispheres, with gamuts Intracerebral lesion with ring enhancement, Intracerebral lesion with moderate enhancement

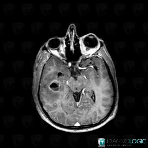
Abscess, Cerebral hemispheres, MRI
Here is the specific information in the key image above:
- Diagnosis Abscess, Location(s) Cerebral hemispheres, with gamuts Temporal lobe T2WI or FLAIR hyperintense lesion, Intracerebral T2W or FLAIR hyperintense lesion

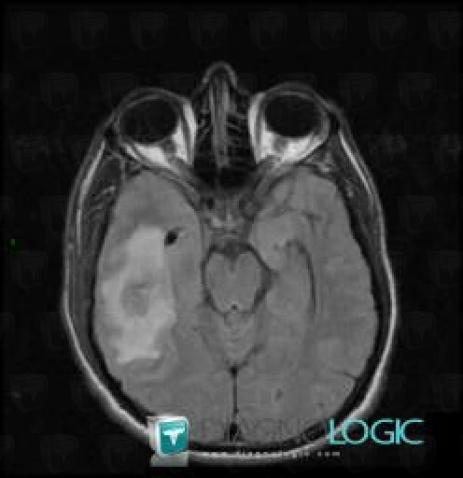
Abscess, Cerebral hemispheres, MRI
Here is the specific information in the key image above:
- Diagnosis Abscess, Location(s) Cerebral hemispheres, with gamuts Intracerebral lesion with ring enhancement, Intracerebral lesion with moderate enhancement

Abscess, Cerebral hemispheres, CT
Here is the specific information in the key image above:
- Diagnosis Abscess, Location(s) Cerebral hemispheres, with gamuts Hypodense intracerebral lesion on noncontrast CT

Abscess, Cerebral hemispheres, CT
Here is the specific information in the key image above:
- Diagnosis Abscess, Location(s) Cerebral hemispheres, with gamuts Intracerebral mass, Multifocal intracranial lesions, Intracerebral lesion with moderate enhancement

Abscess, Cerebral hemispheres, CT
Here is the specific information in the key image above:
- Diagnosis Abscess, Location(s) Cerebral hemispheres, with gamuts Hypodense intracerebral lesion on noncontrast CT

Abscess, Cerebral hemispheres, CT
Here is the specific information in the key image above:
- Diagnosis Abscess, Location(s) Cerebral hemispheres, with gamuts Intracerebral mass, Multifocal intracranial lesions, Intracerebral lesion with moderate enhancement

Return to the patient details