Search by :

ANATOMY GAMUTS
 

Diagnologic is a website dedicated to health care professionals only. The Use of Diagnologic implies acceptance of the Terms of use.

Patient details - Key images

The images below illustrate this case for diagnoses Toxoplasmosis (link to Abscess), for the modalities (CT ,MRI)

Gamuts for this case : :

  • Basal ganglia hypodense lesion
  • Intracerebral lesion with ring enhancement
  • Intracerebral lesion with moderate enhancement
  • Multifocal intracranial lesions
  • Subcortical lesion
  • Intracerebral T2W or FLAIR hypointense lesion
  • Basal ganglia T2W or FLAIR hyperintense lesion
  • Infratentorial T2W or FLAIR hyperintense lesion
  • DWI hyperintense lesion
  • Cerebellar lesion
  • Multifocal infratentorial lesions
  • Intracerebral lesion with intense enhancement
  • Intracerebral mass
  • Periventricular anomaly seen in AIDS
  • Periventricular anomaly seen in MRI

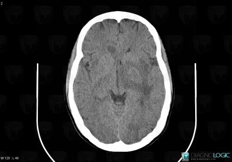
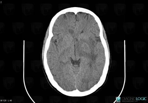
Toxoplasmosis, Basal ganglia and capsule, CT
Here is the specific information in the key image above:
- Diagnosis Toxoplasmosis (link to Abscess), Location(s) Basal ganglia and capsule, with gamuts Basal ganglia hypodense lesion

Toxoplasmosis, Basal ganglia and capsule, CT
Here is the specific information in the key image above:
- Diagnosis Toxoplasmosis (link to Abscess), Location(s) Basal ganglia and capsule, with gamuts Basal ganglia hypodense lesion

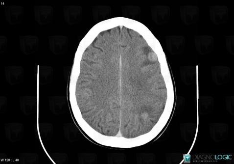
Toxoplasmosis, Cerebral hemispheres, CT
Here is the specific information in the key image above:
- Diagnosis Toxoplasmosis (link to Abscess), Location(s) Cerebral hemispheres, with gamuts Intracerebral lesion with ring enhancement, Intracerebral lesion with moderate enhancement, Multifocal intracranial lesions

Toxoplasmosis, Cortico subcortical region, CT
Here is the specific information in the key image above:
- Diagnosis Toxoplasmosis (link to Abscess), Location(s) Cortico subcortical region, with gamuts Subcortical lesion

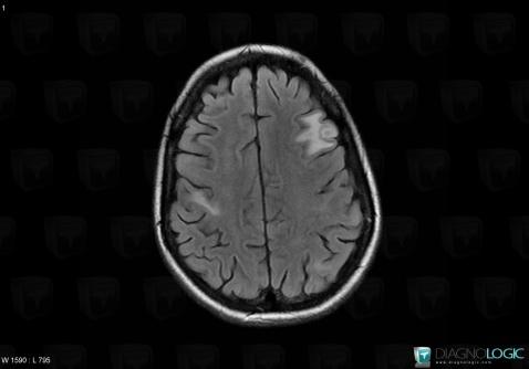
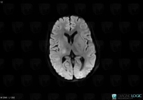
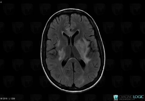
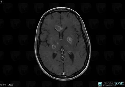
Toxoplasmosis, Cerebral hemispheres, MRI
Here is the specific information in the key image above:
- Diagnosis Toxoplasmosis (link to Abscess), Location(s) Cerebral hemispheres, with gamuts Intracerebral T2W or FLAIR hypointense lesion, Multifocal intracranial lesions

Toxoplasmosis, Cortico subcortical region, CT
Here is the specific information in the key image above:
- Diagnosis Toxoplasmosis (link to Abscess), Location(s) Cortico subcortical region, with gamuts Subcortical lesion

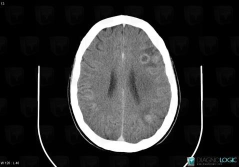
Toxoplasmosis, Cerebral hemispheres, CT
Here is the specific information in the key image above:
- Diagnosis Toxoplasmosis (link to Abscess), Location(s) Cerebral hemispheres, with gamuts Intracerebral lesion with ring enhancement, Intracerebral lesion with moderate enhancement, Multifocal intracranial lesions

Toxoplasmosis, Basal ganglia and capsule, MRI
Here is the specific information in the key image above:
- Diagnosis Toxoplasmosis (link to Abscess), Location(s) Basal ganglia and capsule, with gamuts Basal ganglia T2W or FLAIR hyperintense lesion

Toxoplasmosis, Cerebral hemispheres, MRI
Here is the specific information in the key image above:
- Diagnosis Toxoplasmosis (link to Abscess), Location(s) Cerebral hemispheres, with gamuts Intracerebral T2W or FLAIR hypointense lesion, Multifocal intracranial lesions

Toxoplasmosis, Basal ganglia and capsule, MRI
Here is the specific information in the key image above:
- Diagnosis Toxoplasmosis (link to Abscess), Location(s) Basal ganglia and capsule, with gamuts Basal ganglia T2W or FLAIR hyperintense lesion

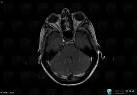
Toxoplasmosis, Posterior fossa, MRI
Here is the specific information in the key image above:
- Diagnosis Toxoplasmosis (link to Abscess), Location(s) Posterior fossa, with gamuts Infratentorial T2W or FLAIR hyperintense lesion

Toxoplasmosis, Posterior fossa, MRI
Here is the specific information in the key image above:
- Diagnosis Toxoplasmosis (link to Abscess), Location(s) Posterior fossa, with gamuts Infratentorial T2W or FLAIR hyperintense lesion

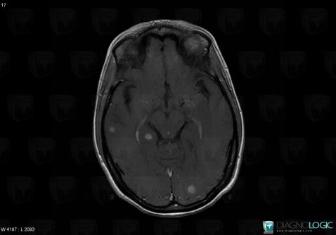
Toxoplasmosis, Cerebral hemispheres, Basal ganglia and capsule, MRI
Here is the specific information in the key image above:
- Diagnosis Toxoplasmosis (link to Abscess), Location(s) Basal ganglia and capsule, with gamuts DWI hyperintense lesionCerebral hemispheres, with gamuts DWI hyperintense lesion

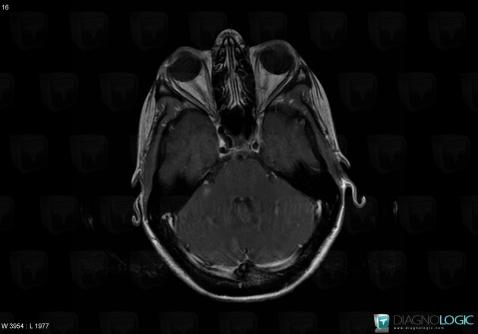
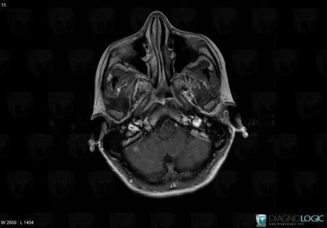
Toxoplasmosis, Cerebellar hemisphere, MRI
Here is the specific information in the key image above:
- Diagnosis Toxoplasmosis (link to Abscess), Location(s) Cerebellar hemisphere, with gamuts Cerebellar lesion

Toxoplasmosis, Cerebral hemispheres, Basal ganglia and capsule, MRI
Here is the specific information in the key image above:
- Diagnosis Toxoplasmosis (link to Abscess), Location(s) Basal ganglia and capsule, with gamuts DWI hyperintense lesionCerebral hemispheres, with gamuts DWI hyperintense lesion

Toxoplasmosis, Cerebellar hemisphere, MRI
Here is the specific information in the key image above:
- Diagnosis Toxoplasmosis (link to Abscess), Location(s) Cerebellar hemisphere, with gamuts Cerebellar lesion

Toxoplasmosis, Posterior fossa, MRI
Here is the specific information in the key image above:
- Diagnosis Toxoplasmosis (link to Abscess), Location(s) Posterior fossa, with gamuts Multifocal infratentorial lesions

Toxoplasmosis, Cerebral hemispheres, MRI
Here is the specific information in the key image above:
- Diagnosis Toxoplasmosis (link to Abscess), Location(s) Cerebral hemispheres, with gamuts Intracerebral lesion with intense enhancement

Toxoplasmosis, Posterior fossa, MRI
Here is the specific information in the key image above:
- Diagnosis Toxoplasmosis (link to Abscess), Location(s) Posterior fossa, with gamuts Multifocal infratentorial lesions

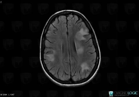
Toxoplasmosis, Cerebral hemispheres, MRI
Here is the specific information in the key image above:
- Diagnosis Toxoplasmosis (link to Abscess), Location(s) Cerebral hemispheres, with gamuts Intracerebral lesion with moderate enhancement, Intracerebral mass

Toxoplasmosis, Ventricles / Periventricular region, MRI
Here is the specific information in the key image above:
- Diagnosis Toxoplasmosis (link to Abscess), Location(s) Ventricles / Periventricular region, with gamuts Periventricular anomaly seen in AIDS, Periventricular anomaly seen in MRI

Toxoplasmosis, Cerebral hemispheres, MRI
Here is the specific information in the key image above:
- Diagnosis Toxoplasmosis (link to Abscess), Location(s) Cerebral hemispheres, with gamuts Intracerebral lesion with intense enhancement

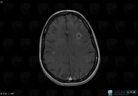
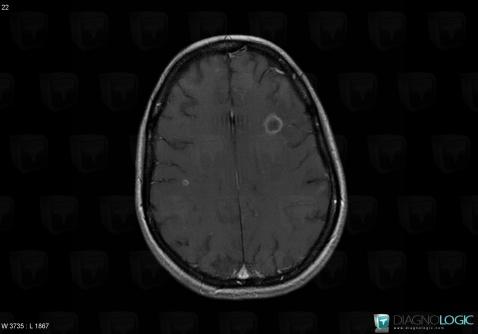
Toxoplasmosis, Cerebral hemispheres, MRI
Here is the specific information in the key image above:
- Diagnosis Toxoplasmosis (link to Abscess), Location(s) Cerebral hemispheres, with gamuts Intracerebral lesion with ring enhancement

Toxoplasmosis, Ventricles / Periventricular region, MRI
Here is the specific information in the key image above:
- Diagnosis Toxoplasmosis (link to Abscess), Location(s) Ventricles / Periventricular region, with gamuts Periventricular anomaly seen in AIDS, Periventricular anomaly seen in MRI

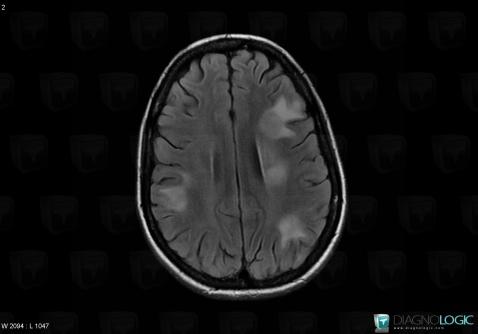
Toxoplasmosis, Cerebral hemispheres, MRI
Here is the specific information in the key image above:
- Diagnosis Toxoplasmosis (link to Abscess), Location(s) Cerebral hemispheres, with gamuts Intracerebral lesion with moderate enhancement, Intracerebral mass

Toxoplasmosis, Cerebral hemispheres, MRI
Here is the specific information in the key image above:
- Diagnosis Toxoplasmosis (link to Abscess), Location(s) Cerebral hemispheres, with gamuts Intracerebral lesion with ring enhancement

Toxoplasmosis, Cortico subcortical region, MRI
Here is the specific information in the key image above:
- Diagnosis Toxoplasmosis (link to Abscess), Location(s) Cortico subcortical region, with gamuts Subcortical lesion

Toxoplasmosis, Cortico subcortical region, MRI
Here is the specific information in the key image above:
- Diagnosis Toxoplasmosis (link to Abscess), Location(s) Cortico subcortical region, with gamuts Subcortical lesion

Return to the patient details