Search by :

ANATOMY GAMUTS
 

Diagnologic is a website dedicated to health care professionals only. The Use of Diagnologic implies acceptance of the Terms of use.

Patient details - Key images

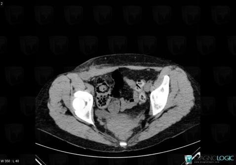
The images below illustrate this case for diagnoses Abscess, for the modalities (CT)

Gamuts for this case : :

  • Abdominal wall mass

Abscess, Abdominal wall, CT
Here is the specific information in the key image above:
- Diagnosis Abscess, Location(s) Abdominal wall, with gamuts Abdominal wall mass

Abscess, Abdominal wall, CT
Here is the specific information in the key image above:
- Diagnosis Abscess, Location(s) Abdominal wall, with gamuts Abdominal wall mass

Return to the patient details