La section résumé permet d'avoir en un coup d'œil les éléments clés d'un diagnostic
Age :
0 ans (Min), 0 ans (Max), 0 ans (Moyen)
Discopathie dégénérative
Discopathies et IRM – Classification MODIC
Les discopathies entrainent des modifications des plateaux vertébraux
3 stades :
MODIC 1 (œdème) :
Plateau vertébraux en
- hyposignal T1
- Hypersignal T2
Relation statistique entre MODIC 1 et lombalgie
Evolue en 1 à 3 ans en MODIC 2. Une amélioration de la lombalgie peut-être concomitante
Certains chirurgiens considèrent que la présence de modifications de Modic 1 en IRM constitue un argument favorable pour l’arthrodèse.
Pas de chirurgie intempestive étant donné l’évolution favorable spontanée
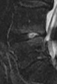
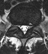
Discopathies L4-L5 et L5-S1 MODIC 1
MODIC 2(graisse) :
Plateau vertébraux en
- hypersignal T1
- Hypersignal T2
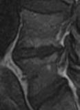
Discopathie L4-L5 MODIC 2
MODIC 3 (sclérose) :
Plateau vertébraux en :
- Hyposignal T1
- Hyposignal T2
MODIC 1
Spondylodiscite infectieuse
Plateau vertébraux
Œdème
Œdème
Corticales
Normales ou ponctuellement discontinues (hernies intraspongieuses)
Effacées
Hypersignal du disque
Non, ou fente linéaire horizontale (vide discale)
Oui, hypersignal liquidien
Prise de contraste discale
Non ou linéaire fine parallèle au plateau
Oui
Masses des tissus mous / Epidurale
Non ou en hyposignal T2 ne prenant pas le contraste
Oui en hypersignal T2, prenant le contraste
Evolution à court terme
Pas de modification
Aggravation
Différence entre discopathie MODIC 1 et spondylodiscite
Remarques :
- Le respect des corticales est apprécié par l’intégrité ou non d’une ligne en hyposignal T1 et T2 de part et d’autre du disque
- Pour les MODIC 1, un disque extériorisé et des ostéophytes qui peuvent soulever le ligament longitudinal antérieur, et simuler une masse des tissus mous (confronter aux radiographies) Si masse il y a, elle prend peu ou pas le contraste et n’est pas en hypersignal en T2.
- Des clichés en hyper extension peuvent être utiles en majorant le vide discal
- En cas de discopathie érosive, les érosions des plateaux vertébraux sont souvent nettes avec liseré de sclérose périphérique
- Parfois le diagnostic reste difficile et un contrôle rapproché ou une biopsie discale permet de trancher
Spondylodiscite tuberculeuse. Noter l'hypersignal franc du disque, avec présence de ruptures corticales, et la prise de contraste discale
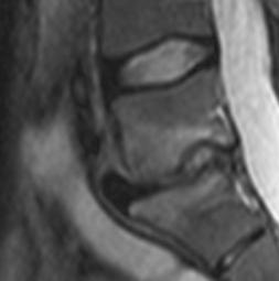
Discopathie MODIC 1: Notez le respect des corticales, la masse des parties molle antérieure en hyposignal T2 (disque extériorisé) et la prise de contraste linéaire du disque
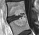
Discopathie MODIC 1 évoluant en MODIC 2. Notez le respect des corticales et l'absence de prise de contraste discale, malgré le franc hypersignal T2 du disque. Evolution à 1.5 ans en discopathie MODIC 2
Signes associés aux lombalgies
Discarthrose surtout si pincement discal > 50%
Spondylolisthésis arthrosique
Disque en hyposignal franc en T2
Discopathie MODIC 1
HIZ postérieur après 50 ans (fissure de l’annulus fibrosus)
High Intensity Zone (HIZ) : hypersignal intense focal de l’annulus postérieur visible en T2 correspondant à une fissure de l’annulus fibrosus
Signes fréquents chez les asymptomatiques
Bombement discal diffus (52% de patients asymptomatiques)
Discopathie dégénérative
Discopathies et IRM – Classification MODIC
Les discopathies entrainent des modifications des plateaux vertébraux
3 stades :
MODIC 1 (œdème) :
Plateau vertébraux en
- hyposignal T1
- Hypersignal T2
Relation statistique entre MODIC 1 et lombalgie
Evolue en 1 à 3 ans en MODIC 2. Une amélioration de la lombalgie peut-être concomitante
Certains chirurgiens considèrent que la présence de modifications de Modic 1 en IRM constitue un argument favorable pour l’arthrodèse.
Pas de chirurgie intempestive étant donné l’évolution favorable spontanée
Discopathies L4-L5 et L5-S1 MODIC 1
MODIC 2(graisse) :
Plateau vertébraux en
- hypersignal T1
- Hypersignal T2
Discopathie L4-L5 MODIC 2
MODIC 3 (sclérose) :
Plateau vertébraux en :
- Hyposignal T1
- Hyposignal T2
MODIC 1
Spondylodiscite infectieuse
Plateau vertébraux
Œdème
Œdème
Corticales
Normales ou ponctuellement discontinues (hernies intraspongieuses)
Effacées
Hypersignal du disque
Non, ou fente linéaire horizontale (vide discale)
Oui, hypersignal liquidien
Prise de contraste discale
Non ou linéaire fine parallèle au plateau
Oui
Masses des tissus mous / Epidurale
Non ou en hyposignal T2 ne prenant pas le contraste
Oui en hypersignal T2, prenant le contraste
Evolution à court terme
Pas de modification
Aggravation
Différence entre discopathie MODIC 1 et spondylodiscite
Remarques :
- Le respect des corticales est apprécié par l’intégrité ou non d’une ligne en hyposignal T1 et T2 de part et d’autre du disque
- Pour les MODIC 1, un disque extériorisé et des ostéophytes qui peuvent soulever le ligament longitudinal antérieur, et simuler une masse des tissus mous (confronter aux radiographies) Si masse il y a, elle prend peu ou pas le contraste et n’est pas en hypersignal en T2.
- Des clichés en hyper extension peuvent être utiles en majorant le vide discal
- En cas de discopathie érosive, les érosions des plateaux vertébraux sont souvent nettes avec liseré de sclérose périphérique
- Parfois le diagnostic reste difficile et un contrôle rapproché ou une biopsie discale permet de trancher
Spondylodiscite tuberculeuse. Noter l'hypersignal franc du disque, avec présence de ruptures corticales, et la prise de contraste discale
Discopathie MODIC 1: Notez le respect des corticales, la masse des parties molle antérieure en hyposignal T2 (disque extériorisé) et la prise de contraste linéaire du disque
Discopathie MODIC 1 évoluant en MODIC 2. Notez le respect des corticales et l'absence de prise de contraste discale, malgré le franc hypersignal T2 du disque. Evolution à 1.5 ans en discopathie MODIC 2
Signes associés aux lombalgies
Discarthrose surtout si pincement discal > 50%
Spondylolisthésis arthrosique
Disque en hyposignal franc en T2
Discopathie MODIC 1
HIZ postérieur après 50 ans (fissure de l’annulus fibrosus)
High Intensity Zone (HIZ) : hypersignal intense focal de l’annulus postérieur visible en T2 correspondant à une fissure de l’annulus fibrosus
Signes fréquents chez les asymptomatiques
Bombement discal diffus (52% de patients asymptomatiques)
Disque en hyposignal T2 modéré (34 à 93%)
Discopathie MODIC 2 (25% après 50 ans)
HIZ postérieur après 50 ans (52%)