Sarcome à proximité d’une articulation, d’un tendon ou d’une bourse
Très rarement articulaire
- Adulte jeune (15-35 ans)
- 70% au membre inférieur (90% au membre en général)
- Tumeur maligne la plus fréquente de la cheville entre 6 et 45 ans
- Calcifications (33%) souvent en périphérie
Le plus souvent non spécifique :
- Isosignal T1, hypersignal hétérogène T2
En cas de petite taille, le signal peut être homogène mimant une lésion bénigne
Parfois évocateur :
- Présence de 3 intensités de signal en T2 fat sat (sang, liquide, fibrose ou calcification)
- Présence de septas évocateurs
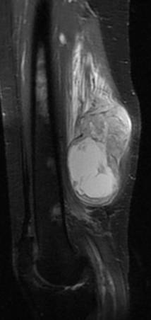
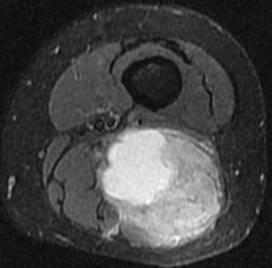
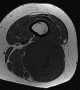
Synovialosarcome. Noter l’aspect hétérogène en T1, T2 et après injection de gadolinium
Synovialosarcome
Sarcome à proximité d’une articulation, d’un tendon ou d’une bourse
Très rarement articulaire
Terrain :
- Adulte jeune (15-35 ans)
- 70% au membre inférieur (90% au membre en général)
- Tumeur maligne la plus fréquente de la cheville entre 6 et 45 ans
Radiographie / TDM :
- Calcifications (33%) souvent en périphérie
IRM :
Le plus souvent non spécifique :
- Isosignal T1, hypersignal hétérogène T2
En cas de petite taille, le signal peut être homogène mimant une lésion bénigne
Parfois évocateur :
- Présence de 3 intensités de signal en T2 fat sat (sang, liquide, fibrose ou calcification)
- Présence de septas évocateurs
Synovialosarcome. Noter l’aspect hétérogène en T1, T2 et après injection de gadolinium