Sarcome pléiomorphe composé de cellules proches des histiocytes et de cellules proche des fibroblastes
Sarcome des tissus mous le plus fréquent de l’adulte
- Antécédent d’irradiation (sarcome radio induit le plus fréquent)
- Antécédent de prothèse ou d’ostéosynthèse
- Homme > Femme (2-1)
- Age : pic d’incidence à 50 ans
- 50% au membre inférieur (75% au membre en général)
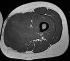
Pas d’aspect spécifique en imagerie
Histiocytofibrome malin. Noter l’aspect hétérogène en T2, avec prise de contraste hétérogène
Histiocytofibrome malin
Sarcome pléiomorphe composé de cellules proches des histiocytes et de cellules proche des fibroblastes
Sarcome des tissus mous le plus fréquent de l’adulte
Terrain :
- Antécédent d’irradiation (sarcome radio induit le plus fréquent)
- Antécédent de prothèse ou d’ostéosynthèse
- Homme > Femme (2-1)
- Age : pic d’incidence à 50 ans
Localisation :
- 50% au membre inférieur (75% au membre en général)
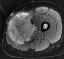
Pas d’aspect spécifique en imagerie
Histiocytofibrome malin. Noter l’aspect hétérogène en T2, avec prise de contraste hétérogène