La section résumé permet d'avoir en un coup d'œil les éléments clés d'un diagnostic
Age :
0 ans (Min), 0 ans (Max), 0 ans (Moyen)
Rupture du ligament scapho-lunaire
Ligament entre le scaphoïde et le lunatum
3 portions :
- ventrale, dorsale
- Moyenne : une perforation isolée étant fréquente, souvent asymptomatique
Examen clé : Arthroscanner / ArthoIRM
Différents aspects de rupture du ligament scapho-lunaire:
- Passage de produit de contraste de l’espace médio-carpien à radio-carpien durant l’arthrographie
- Discontinuité ou absence du ligament
- Aspect irrégulier du ligament
- Diastasis scapho-lunaire >3mm
Progressivement, en raison de la rupture ligamentaire, il y a une modification des rapports osseux :
- Aspect en DISI (dorsal intercalcated segmental instability)
o Le scaphoïde bascule en ventral
o Le lunatum bascule en dorsal
La rupture du ligament scapho-lunaire peut aussi être à l’origine d’un:
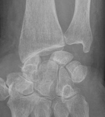
SLAC wrist (scapho-lunate advanced collapse):
- Arthrose radio-scaphoïdienne au départ
- Puis arthrose capito lunaire et scapho-trapézo-trapézoïdienne
- Respect de l’interligne radio-lunaire
SLAC wrist : Noter le diastasis entre le scaphoïde et le lunatum, les remaniements dégénératifs radio-scaphoïdien, et scapho-trapézo-trapézoïdien. Respect de l’interligne radio-lunaire
Rupture du ligament scapho-lunaire
Ligament entre le scaphoïde et le lunatum
3 portions :
- ventrale, dorsale
- Moyenne : une perforation isolée étant fréquente, souvent asymptomatique
Examen clé : Arthroscanner / ArthoIRM
Différents aspects de rupture du ligament scapho-lunaire:
- Passage de produit de contraste de l’espace médio-carpien à radio-carpien durant l’arthrographie
- Discontinuité ou absence du ligament
- Aspect irrégulier du ligament
- Diastasis scapho-lunaire >3mm
Progressivement, en raison de la rupture ligamentaire, il y a une modification des rapports osseux :
- Aspect en DISI (dorsal intercalcated segmental instability)
o Le scaphoïde bascule en ventral
o Le lunatum bascule en dorsal
La rupture du ligament scapho-lunaire peut aussi être à l’origine d’un:
SLAC wrist (scapho-lunate advanced collapse):
- Arthrose radio-scaphoïdienne au départ
- Puis arthrose capito lunaire et scapho-trapézo-trapézoïdienne
- Respect de l’interligne radio-lunaire
SLAC wrist : Noter le diastasis entre le scaphoïde et le lunatum, les remaniements dégénératifs radio-scaphoïdien, et scapho-trapézo-trapézoïdien. Respect de l’interligne radio-lunaire