La section résumé permet d'avoir en un coup d'œil les éléments clés d'un diagnostic
Genre :
Tout
Age :
20 ans (Min), 50 ans (Max), 35 ans (Moyen)
Adamantinome
Tumeur très rare, localement agressive dans le spectre de la dysplasie ostéo-fibreuse
Terrain :
- 20-50ans
- Homme > Femme
- Notion de traumatisme dans 60% des cas
Localisation :
- Diaphyse du tibia (90%)
Radiographie :
- Ostéolyse à limites nettes, parfois même condensé avec ostéosclérose périphérique
- Parfois d’aspect plus agressif avec limites floues, rupture corticale et masse des parties molles
Traitement :
- Chirurgical
Point clés :
Tumeur de la diaphyse tibiale
A différentier de la dysplasie ostéofibreuse ou fibrome ossifiant (patients plus jeunes, atteinte de la corticale antérieure du tibia, bien limité, sans rupture corticale)
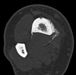
Adamantinome tibial d’aspect agressif avec ostéolyse soufflante rupture corticale et réaction périosté
Adamantinome
Tumeur très rare, localement agressive dans le spectre de la dysplasie ostéo-fibreuse
Terrain :
- 20-50ans
- Homme > Femme
- Notion de traumatisme dans 60% des cas
Localisation :
- Diaphyse du tibia (90%)
Radiographie :
- Ostéolyse à limites nettes, parfois même condensé avec ostéosclérose périphérique
- Parfois d’aspect plus agressif avec limites floues, rupture corticale et masse des parties molles
Traitement :
- Chirurgical
Point clés :
Tumeur de la diaphyse tibiale
A différentier de la dysplasie ostéofibreuse ou fibrome ossifiant (patients plus jeunes, atteinte de la corticale antérieure du tibia, bien limité, sans rupture corticale)
Adamantinome tibial d’aspect agressif avec ostéolyse soufflante rupture corticale et réaction périosté