La section résumé permet d'avoir en un coup d'œil les éléments clés d'un diagnostic
Genre :
Tout
Age :
20 ans (Min), 80 ans (Max), 55 ans (Moyen)
Liposarcome
2ième tumeur des tissus mous de l’adulte
Plusieurs types histologiques :
- Bien différentié ou lipoma like (30-50%)
- Myxoïde (liposarcome le plus fréquent au niveau des membres)
- à cellules rondes, Pléomorphe,
- Dédifférencié
Plus un liposarcome est différencié plus son signal est proche de la graisse :
- Un liposarcome bien différencié peut simuler un lipome
- Un liposarcome très peu différencié peut ne pas contenir de graisse
Terrain :
- 5-6ième décennies
Localisation :
- Membre inférieur, rétropéritoine, région fessière
Taille > 5cm le plus souvent
IRM :
Aspect en imagerie variable en fonction du type histologique
Liposarcome bien différentié (lipoma like)
- Masse +/- graisseuse avec une composante tissulaire /septas épais prenant le contraste
Liposarcome myxoïde :
- Contingent graisseux présent dans 50% des cas, en faible proportion au sein de la masse
- En hypersignal T2 pseudo liquidien (tumeur myxoïde), d’aspect variable en T1
- Peut simuler une lésion kystique (importance de l’injection en cas de lésion kystique des parties molles)
Liposarcome à cellules rondes et pléomorphe :
- Absence de contingent graisseux visualisable en imagerie le plus souvent
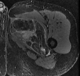
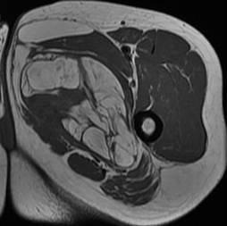
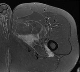
Liposarcome bien différencié. Noter la masse graisseuse, ayant une composante tissulaire (flèches) et des septas épais rehaussés après injection de gadolinium
Liposarcome
2ième tumeur des tissus mous de l’adulte
Plusieurs types histologiques :
- Bien différentié ou lipoma like (30-50%)
- Myxoïde (liposarcome le plus fréquent au niveau des membres)
- à cellules rondes, Pléomorphe,
- Dédifférencié
Plus un liposarcome est différencié plus son signal est proche de la graisse :
- Un liposarcome bien différencié peut simuler un lipome
- Un liposarcome très peu différencié peut ne pas contenir de graisse
Terrain :
- 5-6ième décennies
Localisation :
- Membre inférieur, rétropéritoine, région fessière
Taille > 5cm le plus souvent
IRM :
Aspect en imagerie variable en fonction du type histologique
Liposarcome bien différentié (lipoma like)
- Masse +/- graisseuse avec une composante tissulaire /septas épais prenant le contraste
Liposarcome myxoïde :
- Contingent graisseux présent dans 50% des cas, en faible proportion au sein de la masse
- En hypersignal T2 pseudo liquidien (tumeur myxoïde), d’aspect variable en T1
- Peut simuler une lésion kystique (importance de l’injection en cas de lésion kystique des parties molles)
Liposarcome à cellules rondes et pléomorphe :
- Absence de contingent graisseux visualisable en imagerie le plus souvent
Liposarcome bien différencié. Noter la masse graisseuse, ayant une composante tissulaire (flèches) et des septas épais rehaussés après injection de gadolinium