Recherche par :

ANATOMIE SÉMIOLOGIE
 

Diagnologic est un site exclusivement destiné aux professionnels de santé. Son utilisation implique l’acceptation des Conditions d'utilisation.

Dossier patient - Images clés

Les images ci-dessous illustrent ce dossier pour les diagnostics Scissure azygos, pour les modalités (Radio)

Les gammes relatives à ce cas sont les suivantes : :

  • Sans Gamme

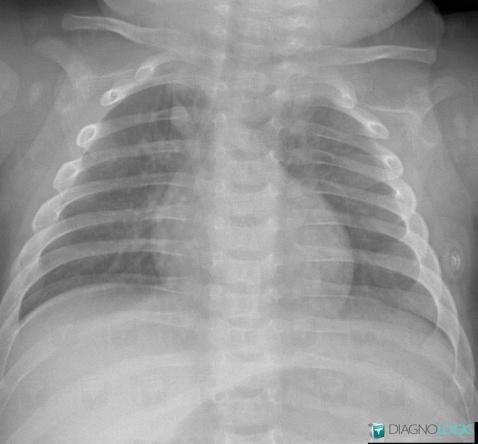
Scissure azygos, Veines - Thorax, Radio
Voici les informations spécifiques à l'image clé ci dessus:
- Diagnostic Scissure azygos, Localisation(s) Veines - Thorax, comportant les gammes

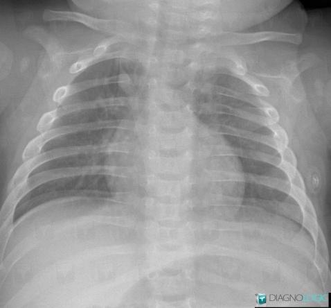
Scissure azygos, Veines - Thorax, Radio
Voici les informations spécifiques à l'image clé ci dessus:
- Diagnostic Scissure azygos, Localisation(s) Veines - Thorax, comportant les gammes

Revenir au dossier patient